Lungs: A Biography
a rough draft about my body
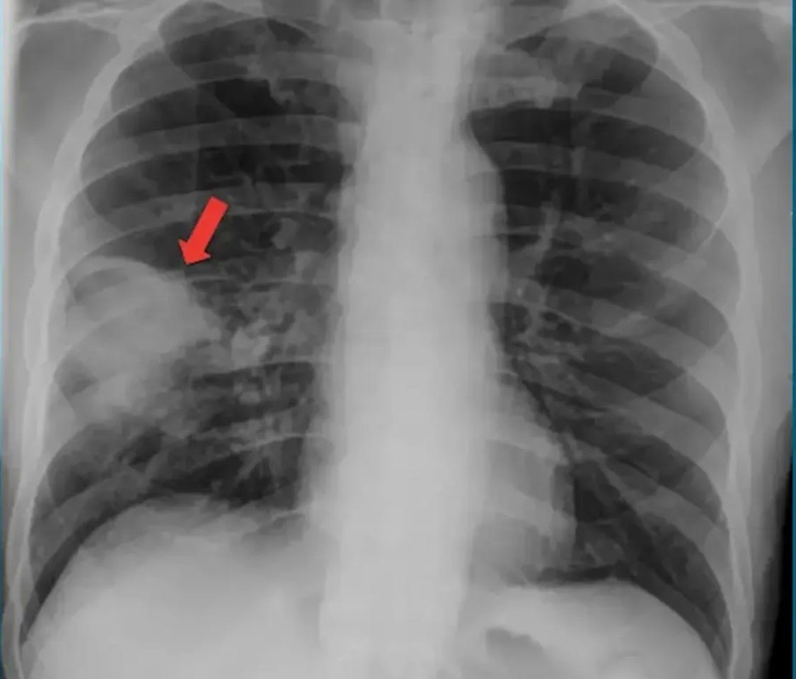
1983: Mom plunged me into an ice bath when I was 16 years old. Even worse, she had to leave her Saturday night date with her future husband in order to do so. My fever hit 106, so I called the bartender at Whiskey Business and asked for Chris. Everyone knew who she was. 2026: RSV is a highly contagious respiratory illness. It usually afflicts babies an…



